内分泌疾患専門病院
甲状腺・副甲状腺疾患、糖尿病などの生活習慣病

放射線科で行う検査(2)

前回に引き続き、今回はCT検査についてご説明します。
CT検査時の服装については、こちらに記載されています。

CT検査(シーティーけんさ)

Computed Tomography:コンピュータ断層撮影
CT装置の大きな輪の中に身体を入れて、身体のいろいろな断面を画像にする検査です。

CT検査の様子

CT検査では、X線(放射線の一種)を使います。検査したい部位にX線を当てて、体のX線の吸収率(体を通り抜ける量)の違いをコンピュータで処理をして画像を作り出します。
X線検査(レントゲン検査)は通常一方向からX線を当てて画像を得るのに対し、CT検査では多方向からX線を当てます。臓器が重なっている部分など、X線検査(レントゲン検査)では詳しく見ることができない部位の状態をCT検査では知ることができます。コンピュータで画像処理をすることで、身体のいろいろな断面画像を作ることができます。
また、画像の濃度など条件を変えることによって、より詳しく診断することが可能です。
矢状面(正中面):身体を左右に分ける断面(正中面は左右を半分に分ける面)
冠状面:身体を前後に切る面で、矢状面に垂直な面
水平面:直立した場合に地面と平行な面で、矢状面と冠状面に直行する面

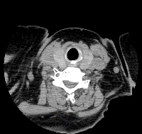
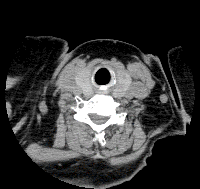
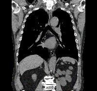
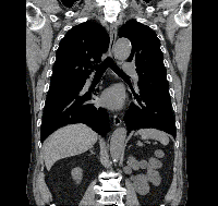
CT画像の例
頚部CT水平断 胸部CT冠状断(縦隔条件) 胸部CT冠状断(肺野条件)

放射線を使用する検査・診断・治療などの医療によって被ばくすることを「医療被ばく」と言います。CT検査では被ばくを伴いますが、CT検査の必要性が被ばくのリスクを上回ると考えられる場合に検査を行っています。また、放射線安全利用についての法令や関連学会のガイドラインをもとに適切な条件で、被ばくをできる限り少なく抑えるよう最適化に努めております。

いろいろな分野で用いられるX線CT

「対象物を破壊することなく、形状や内部構造の詳細な情報を得ることができる」というX線CTの利点を活かして、医療以外にも①産業 ②考古学や古生物学の研究 ③文化財の研究 など、様々な分野でX線CTが利用されているようです。

(野口病院放射線科医師 中島亜紀子)