内分泌疾患専門病院
甲状腺・副甲状腺疾患、糖尿病などの生活習慣病

放射線科で行う検査

放射線科で行う検査

野口病院の放射線科で行う画像検査には、レントゲン検査、CT検査、MRI検査、核医学(RI)検査、PET/CT検査、骨塩定量検査があります。これらの検査についてご説明する際に「似たようなアルファベットが並んで検査の違いが分からない」というご意見をよくいただきます。検査の正式名称を英語、日本語で書くと下の表のようになります。

日頃よく使う言葉 英語 日本語
X線(エックスせん)
検査レントゲン検査
X ray X線検査、一般撮影、
レントゲン検査
CT(シーティー) Computed Tomography コンピューター断層撮影
MRI(エムアールアイ) Magnetic Resonance Imaging 磁気共鳴画像
RI (アールアイ) Radio Isotope inspection 核医学検査
PET(ペット)
PET/CT(ペット/シーティー)
Positron Emission Tomography 陽電子放出断層撮影

「放射線科での検査」と言っても、全ての検査で放射線を使うわけではありません。上の表の中で、MRIの検査は放射線を使わない検査です。これらの検査は、①どこを検査するか、②何を見るのか、など目的によって、どの検査を行うかを決めています。
今回はX線検査についてご説明します。

X線検査(エックスせんけんさ)

1895年(明治28年)11月8日にドイツの物理学者ヴィルヘルム・レントゲン博士がエックス線(X線)を発見しました。このため、X線検査をレントゲン検査とも言います。
X線検査では、X線(放射線の一種)を使います。
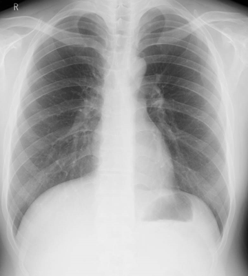
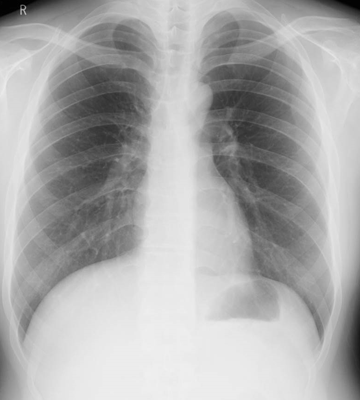
検査したい部位にX線を当てて画像として映し出します。検査時間が短く、早く画像を確認できるので、様々な部位に広く行われる検査です。当院では頚部、胸部のX線検査を受けていただくことが多く、必要に応じて腹部や骨など様々な部位の検査を行います。
頚部の検査では、気管や頚椎(首の骨)、軟部組織(筋肉や皮膚などが写し出されている部分)など、胸部の検査では、肺、気管、気管支、心臓、血管、胸椎(背骨)、肋骨や軟部組織などが映し出されます。ただし、X線検査では上に書いた器官が重なって映し出されるので、細かい部分が十分に評価できません。このためさらに詳しく調べる必要がある場合はCTやMRI検査を行います。

胸部X線写真

日本でX線が使用され始めたのは?

1895年(明治28年)11月8日、ヴィルヘルム・レントゲン博士がエックス線(X線)を発見し、1901年にノーベル物理学賞を受賞しました。医用画像電子博物館放射線医学年表によりますと、1896年に日本でX線の実験が開始され、翌1897年に日本で初期のX線装置が東京帝国大学と名古屋好生館に設置されたということです。
参考:日本画像医療システム工業会

(野口病院放射線科医師 中島亜紀子)