内分泌疾患専門病院
甲状腺・副甲状腺疾患、糖尿病などの生活習慣病

病理診断科とは【4】

病理診断科とは【4】

前回の術中迅速病理診断に引き続き,今回は「手術標本病理組織診断」についてご紹介します。

手術標本病理組織診断は,手術で摘出された臓器などを顕微鏡で観察して行われる診断です。
例えば甲状腺腫瘍の手術では,術前の超音波検査などの画像診断と穿刺吸引細胞診の結果から得られた診断のもとに腫瘍を切除します。切除された腫瘍を顕微鏡で観察して悪性(がん)か良性か,悪性であればどのような種類(これを組織型といいます)のがんで,どこまで拡がっているか,手術で取り切れているかどうかなどを調べます。

顕微鏡観察用の標本は,病理検査担当の臨床検査技師によって作られます。病理標本の作製は工程が多く作業が煩雑であるため,一定の技術が必要です。
作成された標本を病理専門医が顕微鏡で観察し,がんであればその組織型,大きさ,甲状腺周囲組織への拡がりやリンパ節転移の有無を記載した病理組織診断結果の報告をします。当院では特殊な例を除き,手術の2~4日後には病理報告書が作成されます。標本作製と病理診断の確定には時間がかかるのでこれ以上の迅速化は困難ですが,少なくとも退院前には最終的な病理診断が主治医に報告され,それをもとにその後の方針を相談することができます。病理診断は,術後経過の予測や今後の治療方針を決める重要な検査です。

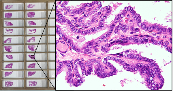
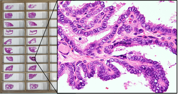
顕微鏡観察用のプレパラートとその顕微鏡写真(甲状腺乳頭がん)

組織標本は保存性が良いため,数十年前のものでも当時とほぼ同じ状態のまま顕微鏡で観察することができます。甲状腺がんは手術後十年以上が経過してから再発することもあります。がんが再発したときに過去の標本と比較をしたり,また手術当時には詳細不明であってもその後に診断や治療法が進歩した疾患については,遡って検証したりすることも可能となります。

標本室には1938年以降の全ての病理標本が保管されています

(野口病院病理診断科)

Tags: