今回は「術中迅速病理診断」についてご紹介します。
術中迅速病理診断(術中迅速診断ともいいます)とは,手術中に採取された検体について,腫瘍なのか腫瘍ではないのか,腫瘍だとすれば良性か悪性か,転移や取り残しがないかどうかなどを調べることを目的に,限られた時間で行われる病理診断です。この診断結果をもとに,切除の範囲を決めたり,より適切な手術方法を選択したりすることができます。
通常,手術検体から標本を作成するには数日間かかりますが,術中迅速病理診断では液体窒素で急速に凍結させた組織片を専用機器で3-4μm程度の薄さに切って染色し,診断結果が20分程で手術中の外科医に報告されます。
術中迅速病理診断で得られる結果はあくまでも簡易的に作成された標本によるものであるため,後日通常の方法で作られた標本と比較検討され、診断が確定します。
当院では,病理診断を専門とする病理医が常勤医師として在籍しているため,この術中迅速病理診断を必要に応じて行うことが可能となっています。
標本の作製は病理診断科の検査技師が行います。正確な病理診断のためには,短時間で質の高い標本を作製することが求められます。

専用機器を用いた凍結組織の薄切(はくせつ)風景
野口病院では甲状腺だけでなく,副甲状腺の手術も多く行っています。副甲状腺の手術でも術中迅速病理診断は重要な役割を果たします。
副甲状腺は肉眼ではそれとわかりにくい臓器であるため,副甲状腺として摘出された組織が間違いなく副甲状腺であるかを確認する必要があります。
また副甲状腺腫瘍の場合は術前の穿刺吸引細胞診検査は行わないため,最初の病理診断として術中迅速病理診断を必ず実施します。

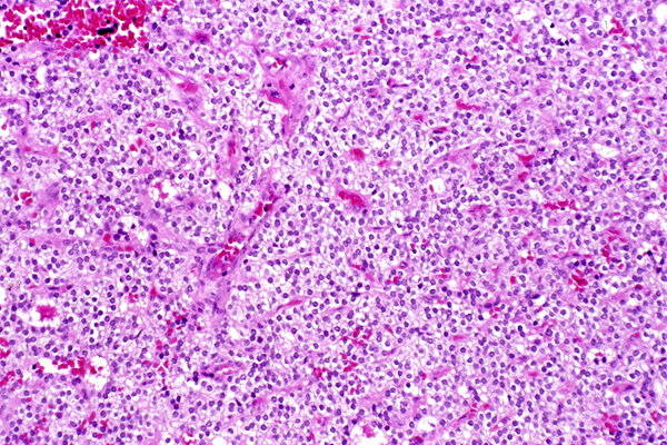
副甲状腺腫(良性腫瘍)の顕微鏡写真:大きさの揃った副甲状腺細胞が増殖しています
(野口病院病理診断科)