X線(レントゲン)検査やCT検査,MRI検査などの画像検査を受ける前に,「着替え」をお願いすることがあります。どういった服装のときに着替えていただくことになるのか,なぜ着替えが必要になるのかは,受ける検査によって異なります。今回は,X線(レントゲン)検査について説明します。
X線撮影では,X線が透過しやすいものほど黒く写り,透過しにくいものほど白く写ります。例えば空気を多く含んでいる肺はX線を透過しやすいので黒く写り,骨はX線を透過しにくいので白く写ります。医師はこの白黒の濃淡の差などを見て画像診断(読影)を行います。X線が透過しにくい素材の服装や装飾は,画像に白く写り込んでしまうためX線撮影時には適しません。
金属類(ファスナー,下着の金具・ワイヤー,アクセサリーなど)
プラスチック類(ボタン,ビーズなど)
顔料を含むプリントや刺しゅう,レースなどの装飾
厚手の素材(補正下着,ブラトップ,ボディスーツなど)
これらが観察したい部分と重なって白く写り込んでしまうと,異常を見つける機会を逃し,正確な診断ができなくなるおそれがあるのです。

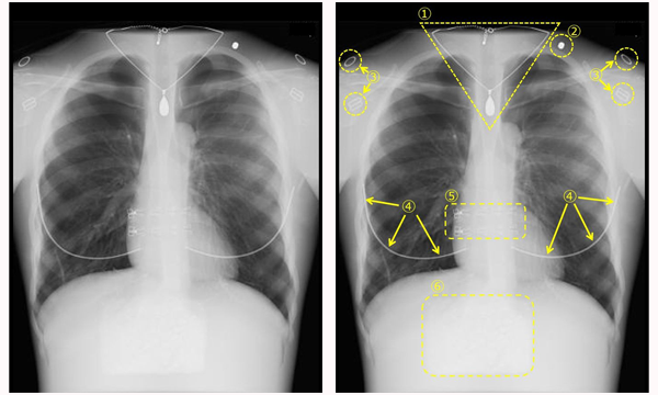
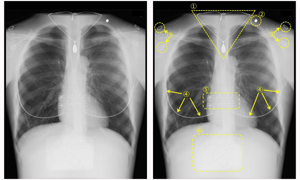
金属類などが写り込んでいる胸部X線写真の例
①ネックレス ②エレキバン(磁石) ③下着の金具 ④下着のワイヤー ⑤下着のホック ⑥カイロ
野口病院では検査着の貸し出しと男女別更衣室がありますので,着替えが必要な場合にはご協力をお願いいたします。
(野口病院放射線科診療放射線技師)